Sinus Augmentation (Sinus Floor Elevation)

Sinus Lift Surgery

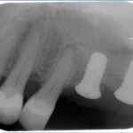
The sinus graft makes it possible for many patients to have dental implants in the upper back teeth area when years ago there was no other option besides wearing loose dentures. The maxillary sinuses are behind your cheeks and on top of the upper teeth. These sinuses are empty, air-filled spaces. Some of the roots of the natural upper teeth extend up into the maxillary sinuses. When these upper teeth are removed, there is often just a thin wall of bone separating the maxillary sinus and the mouth. Dental implants need bone to hold them in place. When the sinus wall is very thin, it is impossible to place dental implants in this bone.

The Sinus Augmentation Procedure

The key to a successful and long-lasting dental implant is the quality and quantity of jaw bone to which the implant will be attached. If bone loss has occurred due to injury or periodontal disease, a sinus augmentation can raise the sinus floor and allow for new bone formation.

In the most common sinus augmentation procedure, a small incision is made on the premolar or molar region to expose the jaw bone. A small opening is cut into the bone, and the membrane lining the sinus is pushed upward. The underlying space is filled with bone grafting material, either from your own body or from a cadaver. Sometimes, synthetic materials that can imitate bone formation are used. After the bone is implanted, the incision is stitched up and the healing process begins. 

After several months of healing, the bone becomes part of the patient’s jaw and dental implants can be inserted and stabilized in this new sinus bone.

If enough bone between the upper jaw ridge and the bottom of the sinus is available to stabilize the implant well, sinus augmentations and implant placement can sometimes be performed as a single procedure. If not enough bone is available, the sinus augmentation will have to be performed first, then the graft will have to mature for several months, depending upon the type of graft material used. Once the graft has matured, the implants can be placed.

The sinus graft makes it possible for many patients to have dental implants when years ago there was no other option besides wearing loose dentures.

Sinus Lift Implant Vancouver Burnaby Periodontist Implant Dentist IMPreESS Perio
Dental Implant Centre in Vancouver Burnaby Sinus Lift Dental implant Surgery Dr. Noroozi Implant Specialist IMPrESS Perio Implant Center.001

Your Top Periodontal Services & Implants in Burnaby

Accepting new patients. Schedule Your Appointment today!

Dr. Noroozi, certified periodontist in Burnaby, utilizes the most advanced technologies such as Piezosurgery to make your sinus lift surgery much safer, more effective and comfortable for you.

What Is It?
A sinus lift is surgery that adds bone to your upper jaw in the area of your molars and premolars. It’s sometimes called a sinus augmentation. The bone is added between your jaw and the maxillary sinuses, which are on either side of your nose. To make room for the bone, the sinus membrane has to be moved upward, or “lifted.” A sinus lift usually is done by a specialist. 
Dr. Noroozi Sinus Lift Surgery For Dental Implants IMPrESS Perio Implant Center

What It’s Used For

A sinus lift is done when there is not enough bone height in the upper jaw, or the sinuses are too close to the jaw, for dental implants to be placed. There are several reasons for this:

  • Many people who have lost teeth in their upper jaw — particularly the back teeth, or molars — do not have enough bone for implants to be placed. Because of the anatomy of the skull, the back of the upper jaw has less bone than the lower jaw.
  • Bone may have been lost because of periodontal (gum) disease.
  • Tooth loss may have led to a loss of bone as well. Once teeth are gone, bone begins to be resorbed (absorbed back into the body). If teeth have been missing for a long time, there often is not enough bone left to place implants. 
  • Tooth loss may have led to a loss of bone as well. Once teeth are gone, bone begins to be resorbed (absorbed back into the body). If teeth have been missing for a long time, there often is not enough bone left to place implants. 
  • The maxillary sinus may be too close to the upper jaw for implants to be placed. The shape and the size of this sinus varies from person to person. The sinus also can get larger as you age. 

Sinus lifts have become common during the last 15 years as more people get dental implants to replace missing teeth.

Sinus Lift, Bone Graft, Implants Dr. Noroozi IMPrESS Perio Implant Center

Preparation

The bone used in a sinus lift may come from your own body (autogenous bone), from a cadaver (allogeneic bone) or from cow bone (xenograft). You will need X-rays taken before your sinus lift so the dentist can study the anatomy of your jaw and sinus. You also may need a special type of computed tomography (CBCT) scan. This scan will allow the dentist to accurately measure the height and width of your existing bone and to evaluate the health of your sinus.

If you have seasonal allergies, you should schedule the procedure when they are not active.

How It’s Done

Your surgeon will cut the gum tissue where your back teeth used to be. The tissue is raised, exposing the bone. A small, oval window is opened in the bone. The membrane lining the sinus on the other side of the window separates your sinus from your jaw. This membrane is gently pushed up and away from your jaw.

Granules of bone-graft material are then packed into the space where the sinus was. The amount of bone used will vary, but usually several millimeters of bone is added above the jaw.

Once the bone is in place, the tissue is closed with stitches. Your implants will be placed four to nine months later. This allows time for the grafted material to mesh with your bone. The amount of time depends on the amount of bone needed.

Follow-Up

After the procedure, you may have some swelling of the area. You may bleed from your mouth or nose. Do not blow your nose or sneeze forcefully. Either one could cause the bone-graft material to move, and loosen the stitches.

Your dentist may give you saline sprays to keep the inner lining of your nose wet and prescribe medicine to prevent congestion and inflammation. You also will be given pain medicine, an antibiotic and an antimicrobial mouthwash to help prevent infection. Most patients have only a little discomfort after a sinus-lift procedure.

You will see the specialist after 7 to 10 days. He or she will evaluate the surgical site and remove stitches if they will not dissolve on their own. You might be asked to return a few more times to make sure the area is healing properly.

After a sinus lift, you need to wait several months for the bony material to harden and integrate with your jaw. Depending on the grafting material used, implants may be placed in four to nine months.

Our specialist is commonly using proteins called growth factors to help the new bone harden faster. Platelet-rich plasma, which contains the growth factors, is taken from your blood before surgery and mixed with the graft that is placed into your sinus. Human-recombinant bone morphogenetic protein is an engineered protein that is now available. It stimulates bone formation without grafting. The U.S. Food and Drug Administration has approved its use during a sinus lift procedure.

Risks

The main risk of a sinus lift is that the sinus membrane could be punctured or torn. If the membrane is torn during the procedure, the surgeon will either stitch the sinus tear or place a patch over it. If the repair is not successful, your surgeon may stop the procedure and give the hole time to heal.

Your periodontist can redo the sinus lift once the membrane has healed. This usually takes a few months. A healed membrane tends to be thicker and stronger, which means a second attempt at a sinus lift is likely to be successful. However, other factors also affect success.

Infection is a risk of any surgical procedure. However, this rarely occurs after sinus lifts.

On rare occasions, the existing bone does not integrate with the bony graft material, and the grafted area does not develop a blood supply. If this happens, any implants placed in this area will fail because there is no live bone for them to attach to. If this happens, you can have the sinus lift procedure repeated.

When To Call a Professional

After a sinus lift, contact your surgeon if:

  • Any swelling or pain gets worse over time. (It should decrease after the first two days or so.)
  • The bleeding does not stop after one to two days.
  • Bleeding is bright red and continuous. (Normal bleeding after this procedure oozes slowly and is dark red with possible clots.)
  • You think the bony material may have been dislodged after sneezing or blowing your nose.
  • Pain does not decrease over time.
  • You develop a fever.

Our Top Procedures for Your Dental Health

A natural tooth consists of a root and a crown. If you compare natural teeth to implant-supported replacement teeth, you’ll see they have the same basic parts.

Pinhole Surgical Technique, breakthrough gum grafting alternative treatment for gum recessions…

A minimally invasive solution with a fixed full-arch implant restoration for high patient satisfaction, Fixed (Non-removable) Same-Day-Teeth, providing immediate function and aesthetics

Unlike with regular scalpel “gum surgery” there is no cutting of the gum tissues or sewing with stitches, so the whole experience is virtually pain free. Laser

Mehdi Noroozi, Periodontist, Implant Surgeon

For nearly two decades, Dr. Noroozi and his dedicated team have transformed the smiles of thousands of patients, delivering exceptional results with minimal discomfort, fewer complications, and quicker recovery times. As the founder and clinical director of IMPrESS Perio Implant Center, Dr. Noroozi leads a renowned practice specializing in advanced microsurgery and minimally invasive periodontal and dental implant procedures.

Faranak Zaeimdar, Prosthodontist

Dr. Zaeimdar is a Board Certified Specialist in Prosthetic Dentistry.

Nathalie Pauletto, Periodontist

Dr. Pauletto then graduated from the University of British Columbia in 1997, with a combined diploma in the specialty of Periodontics and a Masters of Clinical Dental Science, which involved […]